Phục hình răng cố định: Các giải pháp khôi phục chức năng và thẩm mỹ răng miệng
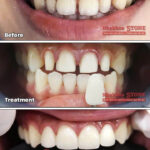
Mất răng hoặc răng bị tổn thương không chỉ gây khó khăn trong sinh hoạt ăn nhai mà còn ảnh hưởng đến sự tự tin khi giao tiếp. Để giải quyết tình trạng này, các phương pháp phục hình răng cố định hiện nay là lựa chọn phổ biến nhờ khả năng khôi phục diện mạo và chức năng gần như răng tự nhiên. Tại Nha khoa Stone, tùy vào tình trạng răng miệng cụ thể, bác sĩ sẽ tư vấn giải pháp tối ưu để bạn sở hữu hàm răng chắc khỏe và thẩm mỹ hài hòa.
1.Phục hình răng cố định là gì?
Đây là kỹ thuật thay thế răng mất hoặc phục hồi răng vỡ mẻ bằng các vật liệu nha khoa bền chắc như sứ hoặc trụ Implant. Điểm khác biệt lớn nhất là các răng này được gắn cố định vào hàm, không bị dịch chuyển khi ăn uống, mang lại cảm giác thoải mái và ổn định lâu dài, cực kỳ phù hợp với những người có lối sống năng động.
2.Các phương pháp phục hình răng phổ biến
Tùy vào nhu cầu và cấu trúc xương hàm thực tế, bạn có thể cân nhắc một trong các phương pháp sau:
a. Cấy ghép Implant
Đây là giải pháp hiện đại giúp thay thế chân răng đã mất bằng trụ Titanium đặt vào xương hàm, sau đó gắn mão sứ lên trên.

- Đặc điểm: Giúp hạn chế tình trạng tiêu xương sau mất răng, không cần can thiệp đến các răng kế cận, mang lại kết quả tối ưu về lâu dài.
- Lưu ý: Cần thời gian để trụ tích hợp vào xương trước khi gắn răng sứ hoàn chỉnh để đảm bảo độ bền chắc.
b. Dán sứ Veneer
Sử dụng mặt dán sứ mỏng để gắn lên bề mặt ngoài của răng nhằm cải thiện hình dáng và màu sắc mà không cần can thiệp sâu vào cấu trúc răng.
- Đặc điểm: Ưu tiên bảo tồn mô răng thật, chỉ xử lý nhẹ bề mặt men răng, tạo vẻ đẹp hài hòa và tự nhiên.
- Lưu ý: Phương pháp này thường phù hợp cho răng thưa nhẹ, răng mẻ hoặc nhiễm màu mà cấu trúc răng còn tốt.
Tìm hiểu thêm về phương pháp phục hình dán mặt răng sứ veneer.
c. Bọc răng sứ
Bác sĩ sử dụng một mão sứ bao bọc toàn bộ phần răng thật đã được xử lý để bảo vệ và tái tạo hình dáng răng gốc.
- Đặc điểm: Giúp răng đều đẹp, cải thiện chức năng ăn nhai và bảo vệ răng sau khi điều trị tủy một cách hiệu quả.
- Lưu ý: Cần xử lý một phần cấu trúc răng thật để làm trụ đỡ cho mão sứ sao cho phù hợp với khớp cắn.
Tìm hiểu thêm về phương pháp phục hình bọc răng sứ
d. Cầu răng sứ
Sử dụng các răng thật bên cạnh vị trí mất răng để làm trụ đỡ cho một dãy răng sứ bắc ngang qua khoảng trống.
- Đặc điểm: Thời gian thực hiện nhanh, chi phí thấp hơn so với cấy ghép Implant, giúp khôi phục nụ cười nhanh chóng.
- Lưu ý: Phương pháp này đòi hỏi các răng lân cận phải đủ khỏe mạnh để làm trụ nâng đỡ.
3. Quy trình tư vấn và thực hiện tại Nha khoa Stone
Để đảm bảo kết quả tốt nhất, quy trình tại Nha khoa Stone luôn được thực hiện kỹ lưỡng và chuyên nghiệp:
- Thăm khám kỹ thuật số: Sử dụng phim X-quang để kiểm tra chính xác cấu trúc xương hàm và chân răng của khách hàng.
- Tư vấn giải pháp phù hợp: Bác sĩ trực tiếp phân tích ưu, nhược điểm của từng phương pháp để khách hàng có sự lựa chọn tối ưu nhất.
- Chế tác răng sứ chính xác: Sử dụng vật liệu sứ có nguồn gốc rõ ràng, đảm bảo độ khít sát và màu sắc hài hòa với các răng thật còn lại.
- Chăm sóc hậu phẫu: Hướng dẫn khách hàng cách vệ sinh răng miệng đúng cách để duy trì tuổi thọ cho răng phục hình.
NHA KHOA STONE – Với tiêu chí “Xâm lấn tối thiểu – Thẩm mỹ tối đa” cùng đội ngũ y bác sĩ tận tình với chuyên môn cao tự tin sẽ chăm sóc, bảo vệ cho sức khỏe và nụ cười của bạn một cách tốt nhất. Liên hệ đặt lịch để được khám và tư vấn hoàn toàn miễn phí:
Hotline: (028) 3620 7282 – 090 260 7282
Địa chỉ: 453 Cách Mạng Tháng 8, P.13, Q.10, TP.HCM
Email: nhakhoastone@gmail.com








